Submitted and written by Alex Bracey with edits by Pendell Meyers and Steve Smith
Case
A 50ish year old man with a history of CAD w/ prior LAD MI s/p LAD stenting presented to the ED with chest pain “similar to his prior MI, but worse.” The pain initially started the day priorto presentation. The pain roused him from sleep but subsided without intervention. Around 19 hours later, he experienced the same pain, which prompted his presentation to the ED. By this time, three hours had passed from the onset of the pain but it was no longer present. Here is his initial ECG:
00:04

What do you think?
– Sinus rhythm at ~70 bpmSTE in lead V2 with a suspiciously large area under the ST segment and T-wave compared to the QRS complex
– Borderline Terminal QRS distortion in V3. There is perhaps a tiny J-wave in several of the QRS complexes in V3, but it would not be enough to definitively say there is a J-wave. Lead aVL, for example, has a definite J-wave.
With no other information other than the first ECG above, I texted this to Dr. Smith and he responded: “ST elevation in lead V2 and terminal QRS distortion in V3. LAD occlusion. Great case. Only viewed on my phone.”
As an exercise, lets calculate the equation for differentiating the ST elevation between benign early repolarization and LAD occlusion. Recall that terminal QRS distortion was an exclusion criteria for this calculator (it was independently suggestive of LAD occlusion), so it cannot be truly applied to this case.

Initial ECG with measurements and calculation

Magnified view of measurements and calculation
A “formula value” greater than 23.4 is both sensitive and specific for acute LAD occlusion. Therefore, this ECG would not have met the criteria for ACO by this formula.
The 4-variable formula score (using QRS amplitude in V2 = 9mm) is 16.59, which is below the formula’s cutoff value of 18.2 (also more indicative of benign variant than OMI).
However, even if there hadn’t been exclusion criteria present on this ECG (QRS distortion), these formulas are not perfectly sensitive or specific even in the derivation studies (around 90%). More importantly, this patient has either no chest pain at the time of this ECG or greatly diminished chest pain. When the artery reperfuses, the chest pain subsides and the ECG starts to resolve. So it may be that we have an ECG which is relatively “on the way down” from obvious OMI findings. Such cases may actually be the reason that the formulas are not even more accurate, because it is nearly impossible to retrospectively figure out which ECGs were done at the time of worsening/improving/absent chest pain. When a patient has improved pain upon arrival, it makes sense that the ECG may no longer show diagnostic findings.
Let’s compare to a prior:

Old ECG taken 3 years prior to today’s presentation
Most people will see this as similar to the initial ECG, however V2 has almost no STE in the baseline ECG and the T-waves are smaller. Also notice the very subtle but real obliteration of the previously present S-wave in V3 which defines terminal QRS distortion.
Even if all these findings were in question, the patient has extremely concerning clinical history with a preexisting stent in the exact location that would support the ECG findings. Terminal QRS distortion and hyperacute T-wave must be assumed to be truly present in this scenario until proven otherwise, and serial ECGs must be followed closely for these findings if the decision to go emergently to the cath lab is not already definite. Stat echo would also be helpful.

Close up comparison of leads V2-V3
– T wave in V2 from today is much larger compared to prior, and the QRS is comparatively smaller
– V3 in the prior ECG has an S wave; V3 in the presentation ECG has no component of the QRS complex that passes below the baseline, and not enough of a positive deflection to be reliably called a J-wave. Therefore there is terminal QRS distortion.
– The ST elevation from today is ~0.2 mV compared to 0.05-0.1 mV from prior
The case continues:
He continued to complain of intermittent chest discomfort similar to the pain that caused his presentation. His initial troponin T, measured 1 hour after the start of this episode of chest pain is less than 0.01 ng/mL (undetectable).
While in the emergency department, he undergoes an additional ECG:
00:49

– Not much change

Second ECG with measurements and calculations

Magnified view of second ECG’s measurements and calculation
It is still “negative” for LAD occlusion (less than 23.4) at this time; however, keep in mind that there dynamic are ECG changes, though they are subtle. Serial ECGs are a very helpful in these instances, and should be obtained frequently and/or with any clinical changes.
At 0244 he received morphine with incomplete resolution of his chest pain and is subsequently started on a nitroglycerin drip at 10 mcg/min for refractory chest pain.
Before continuing, it’s worth pointing out that opioid use for undifferentiated chest pain should be done so with caution. The AHA/ACC guidelines recommend emergent cardiac catheterization for patients with concern for ACS and refractory chest pain despite maximum medical therapy defined as aspirin + clopidogrel/ticagrelor + heparin/enoxaparin. These therapies can cause medical reperfusion of ACO, whereas opioids may simply mask symptoms while doing nothing for the underlying problem. No data exists to suggest or refute that opioid administration leads to longer time to cath in patients with ongoing ACS; however, it makes logical sense that it would, since one of the qualifying factors for emergent cardiac cath is ongoing chest pain. Once the patient has been slated for emergent cardiac cath, then opioid medications can be given without fear of masking symptoms of ongoing ACO, as they are headed to definitive diagnosis and intervention.
See this study showing an association between morphine and mortality in ACS:
Use of Morphine in ACS is independently associated with mortality, at odds ratio of 1.4
http://prdupl02.ynet.co.il/ForumFiles_2/14835373.pdf
He was admitted to the cardiology unit for serial troponin measurements and concern for possible ACS. A repeat troponin T drawn 4 hours after onset of chest pain resulted with a positive measurement of 0.02 ng/mL. After this result he was given therapeutic enoxaparin.
After admission he undergoes another ECG, though it is unclear from documentation whether there was a change in his chest pain.
06:44

|
– T-waves in V2 are smaller now – Overall resolution of prior findings (which qualifies as a dynamic change) |
The initial note by the cardiologist states that the presentation is “more consistent with pericarditis.”
Remember, pericarditis is the thing you say and write down when you’re actively trying to miss an OMI. That’s really all pericarditis is good for.
A repeat troponin T drawn 8 hours after pain onset is 0.07 ng/mL (mildly elevated).
At 0800 the cardiology fellow is called to the bedside by the nurse as the patient again complains about 4/10 chest pain. He reports that he is “anxious as the chest pain will not go away” and that the pain has been constant for the previous 2 hours. He reports nausea as well. There is no repeat ECG recorded at this time (huge mistake). The nitroglycerin drip is increased to 15 mcg/min and the patient reports an improvement in his pain to 3/10.
Later, the cardiology fellow is again called to the bedside by the nurse, as the patient reports a worsening of his pain at which time this ECG is recorded:
10:33
![]() |
|
– At this point, there are definite hyperacute T waves in leads V2 – There are new Q waves forming anteriorly in V2 – R-wave voltage is decreased in V4 – V3 again has a small S-wave, however if you compare the QRS in V3 to priors you can see the QRS is newly fragmented with greatly reduced voltage |
While it’s not currently terminal QRS distortion, this is irrelevant because this is an obvious anterior OMI at this point.
The cardiology fellow and attending review this ECG and again conclude it is pericarditis and begin colchicine and ibuprofen. They also discontinue nitroglycerin drip at this time. This is insanity.
Repeat troponin T drawn 20 hours after onset of pain was 0.58 ng/mL.
At this point let’s take a look at all the V2-V3 leads we have collected:

Side-to-side comparison of all V2-V3 leads. The change in the QRS complex in V2 and V3 tells the story best, demonstrating QRS distortion and progressively reduced and fragmented QRS amplitude, finally with frank Q-waves.
Despite ongoing chest discomfort and an uptrending troponin, he never meets STEMI criteria.
A repeat troponin T is drawn ~31 hours after the initial chest pain which results at 0.74 ng/mL. Echocardiography performed that morning revealed a severely hypokinetic anterior septum and apical cap, and an akinetic septal cap. The ejection fraction was 54% at that time.
The focal wall motion abnormalities were not present on an echo from 4 years prior. Documentation strongly suggests that this finding was what ultimately convinced the cardiologists that this was not pericarditis. The ibuprofen and colchicine were discontinued and the patient was sent for “urgent” cath 2 hours later, more than 35 hours after initial presentation and a full day after the ECG findings obviously diagnostic of LAD occlusion.
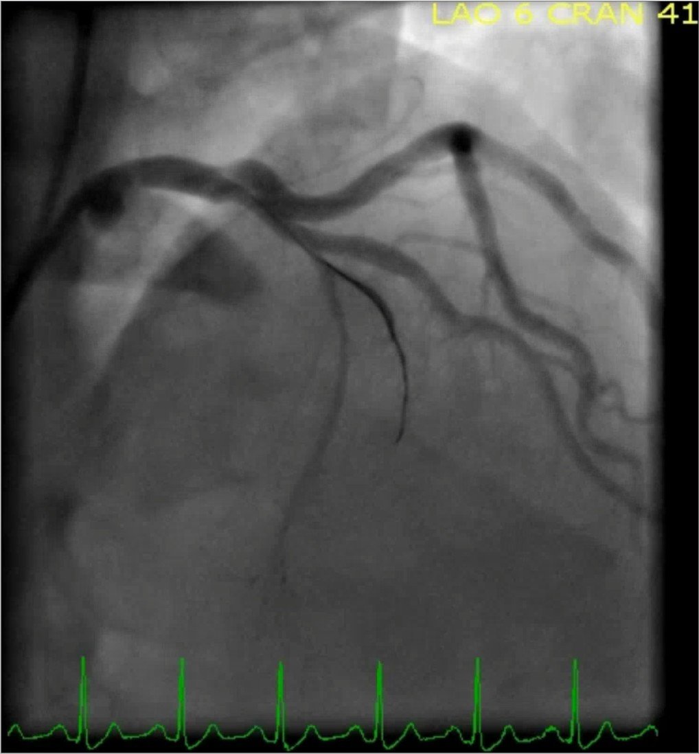
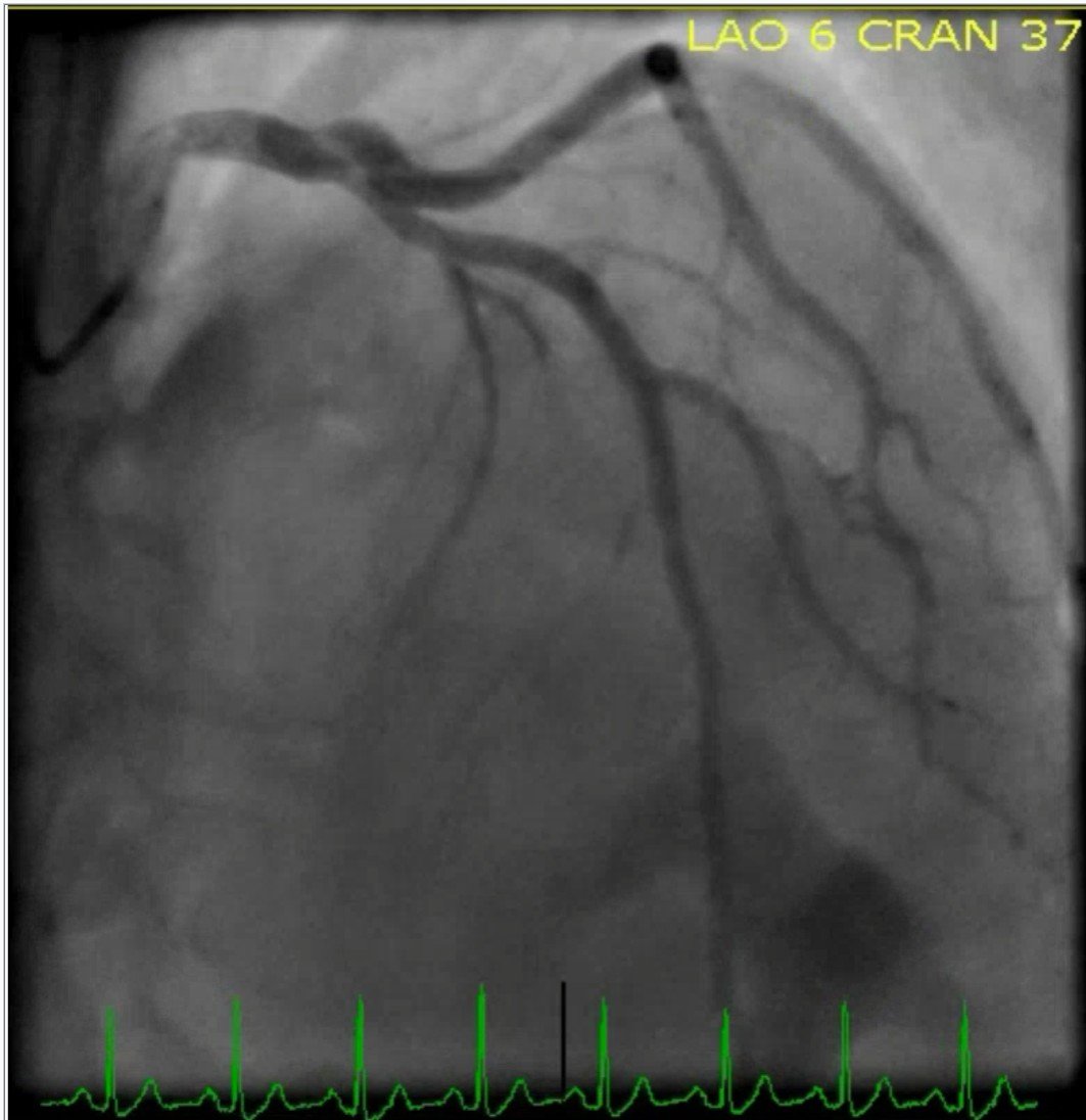
The cardiac catheterization revealed a thrombotic occlusion of the proximal to mid LAD (100% in-stent restenosis of the previously placed bare-metal stent). The patient underwent successful placement of one drug eluting stent with restoration of TIMI 3 flow. Here are the images from the cardiac cath:

Mid to distal-LAD in-stent stenosis with 100% occlusion and TIMI flow 0

LAD post-DES placement with TIMI 3 flow
The amount of territory supplied by this vessel becomes obvious here (and goes on for a few more frames below this still). None of this territory was perfused until this point.
A final troponin T the following morning was 1.33 ng/mL, and may have been still rising however we do not have further measurements.
Post-Cath

Reperfusion T-waves in leads V1-V4
– V1 and and V2 now have Q waves and persistent ST elevation consistent with “LV aneurysm morphology,” which indicates full thickness infarction
– V3 has a tiny preserved R wave (nearly “LV aneurysm morphology”); however, you can see how much myocardium has been lost compared when you compare this QRS to the prior QRS’s from earlier in the case
– Similarly, R-wave voltage in V4 has been sharply diminished (this was one of the most effective predictors of subtle LAD occlusion found in the “early repol vs. subtle LAD occlusion” formula study).
The patient was discharged one day after intervention and appears to be doing well. No further echocardiograms were available after cath. The full thickness infarction with LV aneurysm morphology places him at a higher risk for short and long term complications (e.g., Free wall rupture, VSD, Dressler’s Syndrome, chronic CHF, anatomic LV aneurysm, LV thrombus, stroke, etc).
Teaching points:
1. As has been mentioned numerous times on this site and is redemonstrated here: expert, subjective ECG interpretation is superior to STEMI criteria. Despite having acute coronary occlusion by cath, his ECGs never met STEMI criteria. Firstly, we have shown on this blog that the ECG is not perfectly sensitive for OMI even in the best of hands. Additionally, this patient had multiple episodes of recurrent chest pain without repeat ECGs obtained – it is likely that some of those repeat ECGs may have had more obvious findings, and this is the importance of serial ECGs (serial ECGs make bad doctors decent and good doctors great). When a patient has on and off chest pain like this, the duration of occlusive events may be so short that the ECG does not progress to the stage of STE, but rather has only hyperacute T waves before reperfusion. This transient occlusion can happen repeatedly without even making a troponin if the episodes are brief enough, and this type of stuttering event is what used to be the meaning of the term “unstable angina.” More rarely, it is also sometimes the case that a patient with a total LAD occlusion may never develop diagnostic STE even despite frequent ECGs during the progression to complete infarction.
2. Use caution when prescribing opioids to patients concerning for ACS. The use of opioids to treat chest discomfort in patients with ACS may mask the symptoms of ongoing ischemia.This may result in false reassurance for the provider, who will be less inclined to follow serial troponins, ECGs, or activate the cath lab. The 2014 AHA/ACC Guidelines for the management of patients with Non-ST-Elevation Acute Coronary Syndromes recommends urgent or immediate cath lab activation and invasive intervention for patients with refractory symptoms despite maximal medical therapy, defined as aspirin plus clopidogrel or ticagrelor plus heparin or enoxaparin. It is unclear what, if any impact opioid administration had on the outcome of this case.
3. Pericarditis should be considered a diagnosis of exclusion, unless the history, physical, and ECG is so classic as to be unlikely to be anything else. It is unacceptable as an initial diagnosis in patient with risk factors for heart disease. As with this case, the diagnosis of pericarditis has likely led to countless missed ACOs. He didn’t suffer an obvious short term negative outcome by chart review, but he is at high risk for complications which may have been preventable for better ECG interpretation.
———————————————————–
Comment by KEN GRAUER, MD (7/4/2018):
———————————————————–
Recognition of terminal QRS distortion — is a concept that I never learned in my years of practice. I still at times forget to look for it. This case is perhaps the best example I’ve seen of how use of this concept makes the diagnosis.
- In Figure-1 — I have excerpted from the above blog post, the “Pearls of Wisdom” from Drs. Smith & Meyers that I hope to engrave in my brain. This picture truly tells 1,000 words!
![]() |
| Figure-1: Terminal QRS distortion. |

